
Week 8
這週開始 其實真的比較有 “懷孕了” 的感覺囉
早上起來都會很想吐
但是通常刷好牙 到廚房找東西吃就沒事了
也許是真的太餓了
唯一可喜可賀的是 雖然我偶爾會感覺想吐
但是吃東西的當下 基本上我胃口都還是挺好的

不過吃完了之後 可能就會伴隨著脹氣 打嗝等等不舒服的狀況
但是我覺得都還是算能夠容忍的程度啦
偶爾會感覺嘴巴味道怪怪的
就趕快喝點東西 或是偷吃一顆酸梅
其實我雖然有準備很多酸梅
但是還是覺得 畢竟是醃漬過的東西 還是少吃為妙
所以如果能忍 我都盡量不吃囉!
有時候是真的嘴巴苦到不行 才趕快吃一顆酸梅當救命!
這週另外我感覺到很特別的是
好像真的鼻子變得比較靈敏
甚麼味道我都聞的到
Mr.E 就一直說 果然懷孕五官都會變敏感了
而口味方面
應該說自從六七週左右開始
我就非常不想吃甜食
其實大概再之前開始 我就有點不太想吃甜食
以前我真的很愛吃甜食耶
所以本來我是以為 那陣子蛋糕甜點我做太多了
導致自己開始厭倦
所以儘管還是會烤蛋糕烤餅乾
可是成品就都通通拿去送人 或是請朋友吃
自己幾乎都不太碰
那種感覺很奇怪
就是 完全沒有慾望
長得很可愛的蛋糕擺在我面前也一樣
我想到的只有各式各樣的鹹食
所以就算到了日本
以前每次回去 每個晚上都一定要買一塊蛋糕當消夜的我
這次去了五天 只有買過一塊派
而且還是放到隔天早餐過後才吃掉 也沒有吃完整塊
把剩下的派推給Mr.E 的時候 他還很驚訝地問我說 真的不吃了嗎?!
因為這真的太不像我的作風啦!!!
以前我可能自己的吃完了 還要偷吃他的份勒
不過想想這樣也好啦
也許這樣我能比較好控制體重 baby 生出來也許也會是一個不愛甜食的小孩
這樣我也比較好帶~~~~~ (小孩不該吃太多甜的 會太興奮 容易過動喔!)
而這週開始 我也忽然會覺得 之前的褲襪褲頭很緊 (我之前都習慣穿彈性襪)
只能開始改穿一般褲頭比較鬆的普通褲襪
也開始有點討厭穿腰部有束縛的東西
能穿得輕鬆一點就輕鬆一點
並不是已經有肚子跑出來了
純粹就是 會有一種憋住的感覺
另外 很害羞的是
我居然需要開始穿孕婦用的內衣啦


上一週在日本就買了一些
因為真的已經覺得有點不舒服了
而很緊的內衣會讓我更想吐 趕緊換成產前用的內衣囉!
(我買的是產前產後兼用的type 所以雖然日本的孕婦內衣真的好貴!!! 但是想到可以一路穿到明年 就還是發狠買下去啦!!!!)
這週我也去做了第三次的產檢
也拿到媽媽手冊囉!



產檢前 我們都固定要到另一間診療室跟護士報到量體重血壓等等的
然後因為這一天算是真正的第一次產檢
所以護士也拿了一些衛教的資料給我 跟我簡單地講解了一下
有個地方還講到 孕婦如果要旅行 應該盡量搭乘火車 不要開車
然後如果要搭飛機 要先跟醫生商量
我就馬上脫口而出“啊?! 我上個禮拜才出國耶 哈哈”
接著 護士馬上瞪大眼說“天啊!!!!不行啦!!!!!”



哈哈哈 看來我嚇到她囉!
但是Baby 很喜歡日本啦 日本的食物也很對他的胃口
所以OK的囉
我從診療室出來之後告訴Mr.E 護士聽到我上週才出國的反應後
Mr.E 就說 “你還沒跟他說 你之後還要再去日本哩!”

我想護士應該會嚇暈然後大力阻止吧
所以恩~~~~ 還是等靠近一點再跟醫生說吧 哈哈

不過我想 可能真的有一些孕婦媽媽們在初期真的很不舒服 孕吐的很嚴重等等
所以護士們的擔心也是能理解的
而且初期其實真的很不穩定
我們計畫旅行的時候 也還沒懷孕 當時也沒想這麼多
不過還好 去之前身體狀況都還很OK
只有被吳馬麻警告不准搭雲霄飛車之外 其他的大家好像也沒有像護士一樣反應這麼大

但我想 也許因為我們真的都很習慣搭飛機啦
一年不出國個三四次 我才會渾身不對勁呢
與其把我綁在台灣讓我整天很悶
還不如讓我回日本來的好勒!
不是說 孕婦應該保持心情愉快嗎!
去日本我心情最愉快啦 哈哈哈哈哈!!

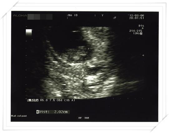
然後這天產檢
醫生一幫我照超音波 就跟我說 Baby 長得很好唷!
長大很多呢!
上一次照 才0.6公分
今天已經大到 他光是照 還沒拿游標量 就知道長大好多囉!
接著拿游標量 居然已經兩公分啦!!!!!
真是令人振奮的消息 看來在日本餐餐吃魚的高蛋白飲食 有長到baby 身上啦 (我自認~~~
)不過照完了超音波
醫生就覺得 以baby 的大小來看 應該不是本來我們自己推算的七週左右
而應該是早了一週 變成八週半左右才對
醫生告訴我 如果baby 下次來 還是長的這麼快
那應該就只是 我們的baby 營養特別好 長得比較好而已
醫生也不會再改變預產期囉~~~~
所以忽然就這樣咻~~~~地一下 我忽然被推進了一整個星期

看完了醫生 Mr.E 忽然開始很緊張地說
Baby 每天都在長大 好多東西不開始著手不行啦!!哈哈哈
看來是被Baby 長大的速度嚇到啦!!
另外因為這一天領了媽媽手冊
所以也順便有做了驗尿跟抽血的檢查
醫生也告訴我們 這次的抽血檢查裡面
可以增加一個自費的檢查項目
那就是 脊髓性肌肉萎縮症基因篩檢 (SMA)
檢查的就是孕婦是不是帶原者囉
我好像蠻少看到有人做這個檢查的
之前看書也好像沒有看過… 不過在我去的醫院自己印的孕婦手冊裡面 就有清楚的標示
所以想想 還是做了比較安心囉!
不過也因為增加了這個檢查項目
我足足被抽了四管血 歐我的天啊~~~~~~

還好這天看診是晚上的診
所以檢驗都是在急診的地方
急診的檢驗師/護士看來經驗都很好
我這種世界無敵超級難抽血的血管 他都能一次到位
雖然不是真的很痛
但是一邊讓血滴出來 護士還一直唸說 怎麼流的這麼慢
我也想要快一點啊!!!

我想後面的孕婦媽媽們應該都等地不耐煩了吧 哈哈結果抽完四管血 我站起來 真的人生第一次感受到甚麼叫做 眼冒金星

然後耳朵真的都是嗡嗡作響 好像頭上罩了一大又厚又重的大安全帽
旁邊的人講話都感覺好遠喔
就這樣在旁邊休息了好久
而且途中肚子居然痛了起來
(本來以為是肚子太餓了)接著全身發熱 還冒了一身汗 我自己都嚇了一大跳
不過還好那時候心裡想 至少我是在醫院 而且是在急診的地方
真的怎麼樣了 他們會救我的啦 哈哈
這才慢慢恢復過來

回家之後 我就一直跟Baby 說
馬咪為了你挨了一針 還抽了四管的血
你要努力吸收營養長大阿~~~~~~~~~~哈哈哈!

Week 9
這週我覺得整體來說 好像早上的噁心感降低了不少
有幾天起床 其實根本沒有感覺到任何的不舒服
另外 吃飽飯後那種消化不良 脹氣的感覺好像也紓解了不少
感覺總算好像不用再提心吊膽吃東西啦!
其實我不知道這些改變 是因為時間的關係
還是因為飲食上的改變
這週飲食上最大的改變就是 我每一天都會喝一杯自己現打的果汁
因為上週結束之前 我跟Mr.E 跑去買了Cuisinart 的攪拌棒回家啦!
這支因為之前在娘家也有用 所以用得很習慣
本來Mr.E 堅決不讓我買的 他認為這個東西非常危險
可是我們實在找不到甚麼其他方便好洗的果汁機
所以他就只好很免強地答應讓我把這隻他認為很危險的攪拌棒帶回家啦
我也覺得不錯囉!
因為這樣打出來的果汁 渣渣都很細 全部都可以咕嚕咕嚕吞下肚子
一點都不會浪費 而且水果的纖維也都能吃進去 這才算健康啦!
更何況 這支攪拌棒 以後baby 需要吃副食品的時候 也很方便
算是一舉兩得啦
我每天喝的果汁內容都不太一定
基本上就是 蘋果 柳丁 番茄 雖然也買了鳳梨 但是鳳梨一直不成熟
因為 “某人” 很懶得撥水果皮 所以以前我連葡萄都是剝好皮去籽然後一起丟進去打果汁呢!
雖說 番茄的茄紅素要加熱後比較能釋放出來
但我其實還蠻愛在果汁裡面加番茄的
因為我不喜歡太甜的果汁 我覺得那樣很噁心
所以都會丟一顆牛番茄進去 (千萬別加小番茄 熱量高又太甜了!)
不知道是不是每天固定都會來一杯自己打的新鮮果汁
好像腸胃都比較舒服了!
比較不會脹氣 孕婦容易有的一點點小問題 (害羞
) 也比較沒有啦 哈哈!其實我會想要再恢復在家打果汁喝
主要是醫生叫我這麼做的囉
因為上一次產檢 我就跟醫生說 肚子脹氣 咕嚕咕嚕 上廁所習慣也改變
讓我覺得很痛苦
優若乳我平時就有在喝 所以根本沒甚麼太大的效用
醫生一聽我這麼說 便建議我自己打果汁喝
畢竟外面的果汁基本上都有加糖 所以還是自己打的比較實際也健康囉!
以前雖然也會在家裡打果汁喝
但是說真的 身體根本也沒什麼感覺
頂多是心理覺得今天吃了很多種類的水果很健康罷了
可是懷孕之後不知道為什麼
吃甚麼東西 感覺反應都很明顯
喝了果汁之後 真的全身都覺得很舒服
尤其有時候感覺好像快要開始反胃的時候來一杯酸酸的果汁
真的很舒服!!
套一句Mr.E 的說法就是 這樣這個危險的東西存在家裡總算有它的價值啦!!

另外一定要紀錄的是
這週的某一天 我做了一件非常瘋狂的事情
某一天的晚上 大概十二點左右 我忽然肚子開始咕嚕咕嚕地叫了起來
通常懷孕之後 我每三四個小時肚子就會餓
如果不是正餐時間 我可能就是 喝杯豆漿 喝杯果汁 吃一點蘇打餅乾
讓自己不要餓到很不舒服想吐肚子痛等等就好了
那天因為已經十二點多了 也準備去洗澡要休息了
就想說 乾脆忽略餓的感覺吧
結果沒想到 洗完澡出來 居然更餓了
跟Mr.E 聊一聊 真的餓到一個不行
我就說 我要去煮水餃吃 (孕婦想吃的東西 跟想吃那個東西的時間點都很詭異)
一開始 我煮了六顆
吃完之後 我覺得 我好像根本沒吃到東西一樣
所以我又再去煮了五顆
心想 十一顆了! 比我平時正餐時吃的還多了耶 這總該夠了吧
但是說真的 吃完之後 我真的只有大概比50% 飽一點點
意思就是真的不夠

於是 我就把那一整盒剩下的水餃通通給煮了
意思就是說
本人在下我 在凌晨兩點鐘
吞了20顆水餃!!!!!!!!!!!!!!!!!!!!!!!!!!!!!



歐我的天啊 真是破了我有生以來的紀錄
就連青春期很會吃的時候 也吃不了20顆水餃阿!!
Mr.E 也說 20顆就連他吃都會很撐吧!
雖然我那天煮的水餃是比較小顆的 但是20真的有點多
可是我吃完居然只有 恩 還蠻飽的感覺 但是挺滿足的!
我的媽阿!!! 這個挺滿足的可真是要命唷~~~~~~~~
隔天早上起來量體重
果然! 馬上多了一公斤!!!!!!
雖然懷孕到現在我的體重基本上是沒有增加的
這一公斤八成也只是前一天半夜吃太多 或是水腫的成果
但是要是我再這樣吃下去
不胖真的很難

說到這裡 本來對我體重控制很有信心的Mr.E 也忍不住說
那些懷孕只胖7 8 公斤的媽媽們 真的太偉大了
餓到身體不舒服想吐肚子痛都還能忍阿!!
我說真的 我覺得懷孕之後的肚子餓 跟以前一般的肚子餓不同
以前肚子餓就是肚子咕嚕咕嚕叫 然後餓再久一點 就是可能有點頭昏沒力氣了
可是現在的肚子餓是咕嚕咕嚕叫的時候如果不馬上吃點東西
是會全身不舒服 肚子痛 很難受 我覺得比頭昏沒力氣更嚴重的!!!

但儘管這麼說
我想我還是得好好努力控制孕期的體重才是….
二十顆水餃 就還是把它當作個神話好了
另外 我現在出門 都會記得順手買瓶果汁 以防隨時想喝點酸的東西
帶個一兩包蘇打餅乾在包包裡面 當作應急
除此之外
我今天又發現了一個很適合孕婦吃的一點小點心 重點是很健康!
九週的某一天 我自己上台北去剪頭髮順便逛逛街
本來約好吳哥哥一起吃晚餐
不過晚餐時間還沒到 孕婦的肚子又餓了
剛好手邊又沒餅乾了 這下可怎麼辦啊~~~~
在百貨公司地下美食街晃了兩三圈 真的找不到甚麼健康的輕食
又不想吃麵包
這時我看到了 翰X茶館的關東煮跟麻辣燙
看了一下裡面的東西
恩 雖然也有很多丸子之類的加工品 但是也可以請店員現燙青菜
也有豆腐 蒟蒻 紅白蘿蔔等等健康低卡又有飽足感的東西
於是 我便請店員幫我燙了一包青菜 夾了一大塊豆腐
跟一塊我最愛的蒟蒻 (我本來就很愛吃蒟蒻)
這才解救了我的窘境

但是關東煮的丸子之類的加工品可是千萬不能吃
我個人是本來就不愛吃魚板丸子之類的火鍋料
所以避免起來沒甚麼太大的感覺
但是 真的平時很愛吃這些東西的馬麻 真的不能吃啦!!!!
(至少不要吃太多~~~~)
一來熱量高 而且鹽分高 對孕婦不好 而且裡面添加了甚麼調味料我們真的不知道
所以能避免就避免囉
然後也不可以吃麻辣的 (這個不用我說大家應該知道吧~~~~~~~~)
我自己就是真的吃清燙的囉
所以以後要是臨時在外面肚子餓了 也許 “非加工品” 的關東煮 會是個好幫手!
說到這裡也許我真的該感謝吳馬麻
小時候不讓我們吃加工品
不讓我們吃小吃 太多油炸過的東西
雖然講過很多遍 但是我人生第一次吃到豬血糕可是過了20歲之後的事了!
鹽酥雞也是可能近20歲才吃到< -- 是真的!!
所以我對這些東西 還真的蠻有免疫力的
雖然長大之後 還是會自己到處亂吃
可是還是能控制自己 不會太常吃這些 真的很偶爾很偶爾才會吃一次
所以我真的覺得 小時候喜歡吃甚麼 長大真的就會喜歡吃什麼
曾經看過一本有關食品加工的書
裡面就寫著
有些媽媽一直罵小孩 不准吃餅乾洋芋片 但是小孩真的很難改過
這是為什麼? 因為裡面那些調味料 跟媽媽用的火腿魚板等再製品裡面其實都一樣
所以 這是小孩們“吃習慣的味道” 哪裡改得掉呢?
所以 懷孕的時候 如果愛吃這些加工食品
以後要是小朋友嫌棄馬麻煮的清淡的健康食物
就會知道為什麼啦!!
雖說有時候我也會偶爾偷吃一些 在我的認知當中所謂“不健康” 的食物
但我會覺得 那僅止於 偶爾讓自己開心一下 不要把自己搞得好像在作甚麼 “健康養身牢” 一樣
要是這樣搞得心情不好 那才更得不償失
不過 這個偶爾 是真的真的很偶爾
能在家裡自己下廚還是盡量自己下廚
湯底一定自己熬 不用甚麼高湯塊 柴魚粉
料理方式盡量能清淡就清淡
就算也許有些小孩不喜歡 但我深信 以後他們會感謝我的!!
就像現在的我一樣 非常感謝吳馬麻從來都是早上起來 “現做” 便當給我帶去上學
不給我吃回鍋油炸過的東西 太多的加工品等等!
而且說來說去 雖然也是為了小baby
主要也是為了自己的健康啊!!
沒有留言:
張貼留言